Σύμφωνα με τα πιο πρόσφατα στοιχεία του Παγκόσμιου Οργανισμού Υγείας (ΠΟΥ), οι διαγνώσεις για φυματίωση (Tuberculosis, TB) σε παγκόσμιο επίπεδο έφτασαν στα 8,3 εκατομμύρια για το έτος 2024 — έναν αριθμό-ρεκόρ. Ταυτόχρονα, ο αριθμός των θανάτων από τη νόσο μειώθηκε ελαφρά, σε περίπου 1,23 εκατομμύρια. Η αύξηση των διαγνώσεων αποδίδεται εν μέρει στην καλύτερη πρόσβαση σε διαγνωστικά τεστ και στη βελτίωση των συστημάτων καταγραφής μετά την πανδημία, ωστόσο η νόσος εξακολουθεί να αποτελεί μία από τις πιο φονικές μολυσματικές ασθένειες στον κόσμο.
Η φυματίωση στην Ελλάδα — «υποδηλώνεται» αλλά δεν εξαφανίζεται
Στην Ελλάδα, τα επίσημα στοιχεία του Εθνικού Οργανισμού Δημόσιας Υγείας (ΕΟΔΥ) καταγράφουν 432 νέα περιστατικά φυματίωσης το 2018, εκ των οποίων σχεδόν τα μισά αφορούσαν σε αλλοδαπούς. Η επίπτωση εκτιμάται σε περίπου 4 περιστατικά ανά 100.000 πληθυσμού, αλλά οι ειδικοί θεωρούν ότι ο πραγματικός αριθμός είναι πολλαπλάσιος, λόγω υποδήλωσης και καθυστερημένης διάγνωσης. Πνευμονολόγοι και επιδημιολόγοι προειδοποιούν ότι η φυματίωση «υποδηλώνεται» στην Ελλάδα — δηλαδή κυκλοφορεί σιωπηλά — καθώς πολλά περιστατικά δεν δηλώνονται ποτέ επίσημα ή αντιμετωπίζονται χωρίς πλήρη καταγραφή.
Οι παράγοντες κινδύνου
Τα τελευταία χρόνια, μεταναστευτικές ροές, κοινωνικοοικονομικές ανισότητες και ανεπάρκειες στις δομές υγείας έχουν συμβάλει στην επιμονή της νόσου.
Σε νησιά του Ανατολικού Αιγαίου και αστικά κέντρα με πληθυσμούς υψηλού κινδύνου, οι συνθήκες διαβίωσης και η περιορισμένη πρόσβαση σε ιατρική φροντίδα δημιουργούν «εστίες» αυξημένης ευαλωτότητας. Παράλληλα, τα δημόσια νοσοκομεία αντιμετωπίζουν ελλείψεις σε εξειδικευμένα τμήματα και προσωπικό για τον εντοπισμό και την απομόνωση περιστατικών.
Η σημασία της έγκαιρης διάγνωσης
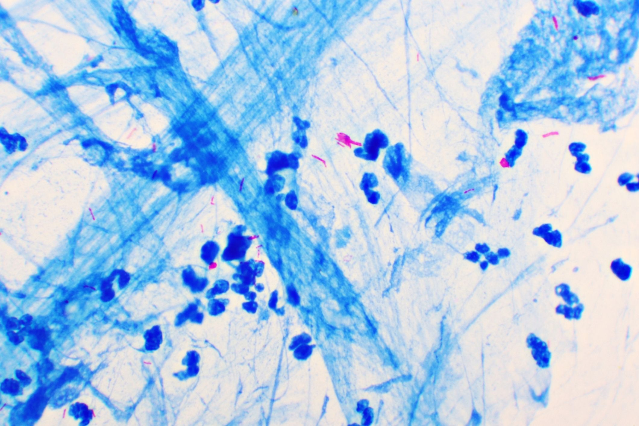
Η φυματίωση μεταδίδεται αερογενώς, μέσω του βήχα ή του φτερνίσματος ατόμων με ενεργό νόσο στους πνεύμονες. Αν δεν εντοπιστεί εγκαίρως, μπορεί να οδηγήσει σε σοβαρή βλάβη του αναπνευστικού ή και σε διασπορά σε άλλα όργανα. Η έγκαιρη διάγνωση και η σωστή φαρμακευτική αγωγή είναι καθοριστικές για την αποτροπή της μετάδοσης και την αποφυγή ανθεκτικών μορφών φυματίωσης (MDR/XDR), που απαιτούν μακροχρόνιες και δαπανηρές θεραπείες.
Τι χρειάζεται να γίνει;
Οι ειδικοί τονίζουν την ανάγκη για ένα Εθνικό Πρόγραμμα Φυματίωσης με επαρκή χρηματοδότηση, καταγραφή περιστατικών, και συντονισμό ανάμεσα σε δημόσιους φορείς και επιστημονικές εταιρείες. Βασικές προτεραιότητες:
- Ενίσχυση της διάγνωσης και της επιτήρησης, ιδίως σε περιοχές υψηλού κινδύνου.
- Εκπαίδευση επαγγελματιών υγείας για την έγκαιρη αναγνώριση συμπτωμάτων.
- Ενημέρωση του κοινού για τα προειδοποιητικά σημάδια και την πρόληψη.
- Πρόσβαση όλων των πληθυσμιακών ομάδων σε ολοκληρωμένη θεραπεία χωρίς διακρίσεις.
Μια «παλιά» νόσος με σύγχρονες προκλήσεις
Η φυματίωση δεν αποτελεί παρελθόν — παραμένει παγκόσμιο και εθνικό ζήτημα δημόσιας υγείας. Η Ελλάδα, παρότι έχει χαμηλότερα ποσοστά από πολλές άλλες χώρες, δεν μπορεί να εφησυχάζει. Η υποδιάγνωση, οι κοινωνικοί παράγοντες και η ανισότητα πρόσβασης σε φροντίδα συνθέτουν ένα εκρηκτικό μίγμα που απαιτεί άμεση δράση. Όπως προειδοποιούν οι ειδικοί, η επένδυση στην πρόληψη και την έγκαιρη θεραπεία δεν είναι μόνο θέμα υγείας — είναι και επένδυση ζωής.


