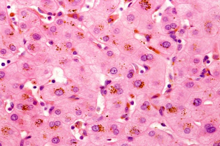
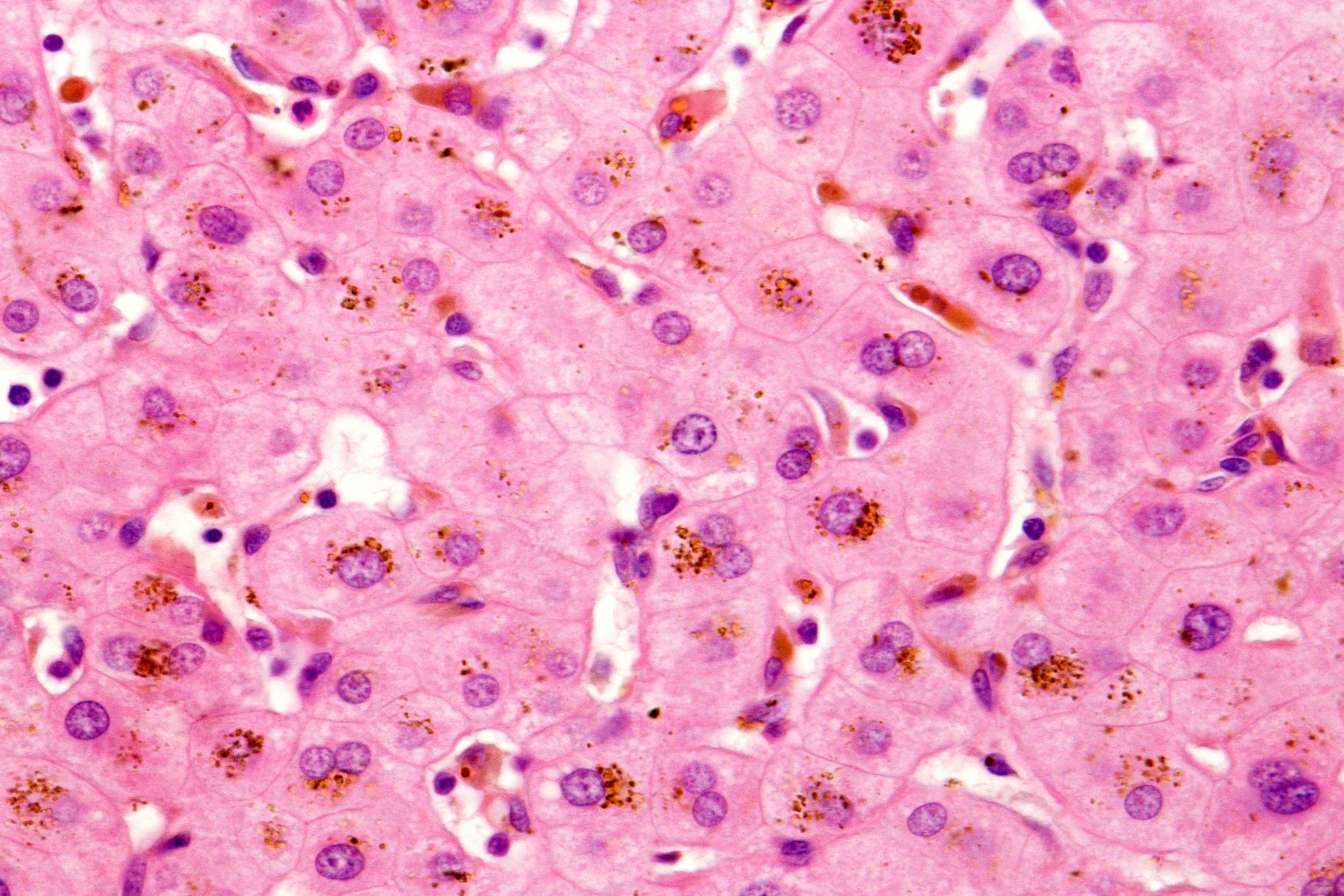
Η Προϊούσα Οικογενής Ενδοηπατική Χολόσταση (PFIC) είναι μια σπάνια, κληρονομική πάθηση του ήπατος που εμφανίζεται συνήθως σε βρέφη και μικρά παιδιά, αλλά και σε ενήλικες, επηρεάζοντας σοβαρά την ποιότητα ζωής των ασθενών και των οικογενειών τους.
Με αφορμή την Παγκόσμια Ημέρα Ευαισθητοποίησης για την PFIC, στο πλαίσιο του 8ου Πανελλήνιου Συνεδρίου Παιδιατρικής Γαστρεντερολογίας, Ηπατολογίας & Διατροφής, που έλαβε χώρα στις 3–5 Οκτωβρίου 2025 στη Θεσσαλονίκη, η κ. Αίγλη Ζέλλου (Αναπλ. Καθηγήτρια Παιδιατρικής – Γαστρεντερολογίας ΕΚΠΑ, Νοσοκομείο Παίδων «Αγλαΐα Κυριακού») και ο κ. Τάσος Γραμματικόπουλος (Consultant in Paediatric Hepatology, King’s College Hospital NHS Trust, Λονδίνο) απαντούν σε καίρια ερωτήματα για την PFIC, όπως:
- Πώς εκδηλώνεται η νόσος και γιατί η έγκαιρη διάγνωση είναι κρίσιμη;
- Ποιες είναι οι σύγχρονες θεραπευτικές προσεγγίσεις;
- Με ποιες προκλήσεις έρχονται αντιμέτωπες οι οικογένειες των ασθενών;
Η καμπάνια στοχεύει στην ενημέρωση και ευαισθητοποίηση τόσο της ιατρικής κοινότητας όσο και του ευρύτερου κοινού, με τους ειδικούς να φωτίζουν τις βασικές πτυχές της νόσου, από τη διάγνωση και τη θεραπεία έως τις ψυχολογικές και κοινωνικές ανάγκες των οικογενειών, τονίζοντας τη σημασία της συνεχούς ενημέρωσης, της πρόσβασης σε εξειδικευμένη φροντίδα και της συνεργασίας μεταξύ ιατρών, ασθενών και φορέων υγείας, για τη σωστή καθοδήγηση και υποστήριξη των οικογενειών που ζουν με τη νόσο.
Η καμπάνια ενημέρωσης είναι μια πρωτοβουλία της INTEGRIS Pharma.
Η INTEGRIS Pharma είναι μια δυναμικά αναπτυσσόμενη ελληνική φαρμακευτική εταιρεία. Η σταθερά αναπτυξιακή πορεία της εταιρείας, από το 2018 έως σήμερα, είναι το αποτέλεσμα της υλοποίησης μιας επιχειρηματικής στρατηγικής που εστιάζεται στη σύναψη συνεργασιών με διεθνείς εταιρείες έρευνας και ανάπτυξης καινοτόμων φαρμακευτικών και ιατροτεχνολογικών προϊόντων, για την κάλυψη θεραπευτικών αναγκών των ασθενών με σπάνιες, χρόνιες και απειλητικές για τη ζωή νόσους. Σήμερα η εταιρεία διατηρεί συνεργασίες με 15 διεθνείς φαρμακευτικές εταιρείες και ένα ευρύ, διαφοροποιημένο χαρτοφυλάκιο προϊόντων για περισσότερες από 20 νόσους, το οποίο περιλαμβάνει ορφανά φάρμακα για σπάνιες και πολύ σπάνιες ασθένειες, ένα εύρος πρωτότυπων και υβριδικών φαρμακευτικών σκευασμάτων στους τομείς της Ογκολογίας και Αιματολογίας, καθώς και υψηλής τεχνολογίας καινοτόμα ιατροτεχνολογικά προϊόντα για την επούλωση δερματικών ελκών και τραυμάτων.
Για περισσότερες πληροφορίες, επισκεφθείτε την ιστοσελίδα: www.integris.gr


